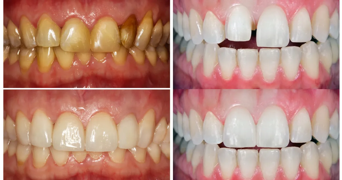
Brighten Your Smile This Valentine's Day
Save $75 on veneers, bonding, or whitening!
Offer Valid Till Feb 14th
or Call +1 866-606-5882
Happily Servicing Over 5000 Happy Smiles
Every service is fully customizable to fit your needs—just let us know your priorities, and we’ll tailor the service accordingly.
What Can Be Included

Preventive Care
From regular cleanings to custom mouthguards to gum disease and sleep apnea treatments, we provide complete preventive dentistry.

Restorative Care
We offer composite fillings, dental crowns, dental implants, and dentures to restore smiles that are suffering from tooth decay or damage.

Cosmetic Care
Have you been thinking about enhancing the appearance of your smile? We can whiten teeth, straighten teeth, or even change your smile completely with veneers.
or Call 📞 +1 866-606-5882
"For the longest time, I felt the stress of keeping up with my oral health, but in reality, I was just maintaining the basics. Since coming to Dental Solutions of Avon, my smile has never felt cleaner, and my dental health is truly taken care of. Highly recommend!"
Step 2: Discovery
After reserving your promo, one of our dental team members will reach out with a quick call. We’ll discuss your dental concerns, goals, and any questions you may have to ensure we tailor your experience to your needs.
Step 3: Consultation
Your journey to a healthier smile starts with a one-on-one consultation. Our dental experts will assess your concerns, explain treatment options, and walk you through the next steps—so you feel confident and informed.
Step 4: Exam
During your exam, we’ll conduct a comprehensive evaluation, including digital X-rays and a thorough checkup. This allows us to detect any underlying issues and create a personalized treatment plan designed just for you.
Step 5: Relax
It’s time to get started! Whether it’s a professional cleaning, teeth whitening, or another treatment, our experienced team will provide high-quality care while ensuring your comfort every step of the way.
Customers Love Us
🦷 "I love that I get to prioritize my dental health! The team focused on my concerns and made me feel completely at ease. Highly recommend Dental Solutions of Avon!"
Linda Welding
Verified Patient
🦷 "Finally, a dental office that listens to my needs! I didn’t want a one-size-fits-all treatment plan—Dental Solutions of Avon** customized my care and explained everything clearly."**
Rebecca Kings
Verified Patient
🦷 "Super convenient! I booked a cleaning and whitening session, and my smile has never looked better. Love that I can choose the treatments that fit me best!"
Samantha Burns
Verified Patient
or Call 📞 +1 866-606-5882

About Us
Welcome to Dental Solutions of Avon! 🎉
At Dental Solutions of Avon, we’re more than just a dental office—we’re a dedicated team committed to delivering exceptional, patient-focused care since 2006.
Right now, our growing team includes skilled dentists, hygienists, and support staff who work together to serve hundreds of patients every month with personalized, high-quality dentistry.
Tired of rushed appointments and impersonal care? So were we!
That’s why we prioritize your comfort, convenience, and confidence—treating every patient like family, not just another chart number.
We’ve also embraced modern dental technology to give you the best experience possible.
✅ Digital X-rays & 3D imaging for precise diagnosis
✅ Same-day CEREC crowns for instant restorations
✅ Online appointment scheduling & reminders for stress-free visits
From routine cleanings to life-changing smile makeovers, we’re here to provide top-tier dental care in a warm, welcoming environment.
When you choose Dental Solutions of Avon, you're choosing a team that genuinely cares about your smile and overall well-being!
or Call 📞 +1 866-606-5882
Contact
Email:
Phone Number:
+1 866-606-5882
Service Areas
Indianapolis, IN & Surrounding Areas
Customer Service Hours:
Monday - Friday 8:00 am - 5pm
or Call 📞 +1 866-606-5882
Frequently Asked Questions
No, but you do need to book it quickly! Once you reserve your promo, you have 24 hours to book it with a team member. If it’s not booked within that time, the promo may expire, and we won’t be able to offer it again until next month. Our specials are limited and only available once a month—so don’t wait too long!
or Call 📞 +1 866-606-5882
© 2026 - All Rights Reserved